CASOS CLÍNICOS
Trombofilia: expresión neurooftalmológica
Sol M. Kovalivkera, Constanza Bonavitaa, Florencia Passarellia, Lidia Sarottob, M. Laura Braccia Gancedob, Luciana L. Iaconob
aCentro de Ojos Quilmes, Quilmes, Buenos Aires, Argentina.
bHospital de Clínicas José de San Martín, Buenos Aires, Argentina.
Recibido: 20 de junio de 2023.
Aprobado: 15 de agosto de 2023.
Autor corresponsal
Dra. Sol M. Kovalivker
Calle 16, no. 973
(1896) City Bell (prov. de Buenos Aires)
Argentina.
(+54) 9221-6183736
solkovalivker@gmail.com
Oftalmol Clin Exp (ISSNe 1851-2658)
2023; 16(3): e296-e301.
Conflicto de interés
Las autoras declaran no tener conflicto de interés.
Resumen
Objetivo: Reportar una forma de expresión de trombofilia a partir del caso clínico de una paciente con papiledema por trombosis de 2 senos venosos cerebrales producto de esa afección.
Caso clínico: Paciente femenina de 47 años de edad que concurrió al servicio de urgencias oftalmológicas refiriendo episodios de oscurecimientos transitorios de la visión, cefalea intensa y tinnitus. Al examen oftalmológico se evidenció edema de papila bilateral y en la angiorresonancia se detectó trombosis de senos venosos cerebrales. Luego de exhaustivos análisis clínicos y de laboratorio se confirmó el diagnóstico de trombofilia como responsable de la trombosis, por lo que se le realizó tratamiento anticoagulante con marcada mejoría de su cuadro clínico.
Conclusión: En este caso se resalta que la trombofilia puede ser causa de trombosis de senos venosos cerebrales, lo que puede generar en consecuencia papiledema bilateral.
Palabras clave: trombofilia, papiledema, trombosis de senos venosos cerebrales, hipertensión intracraneal, trombogénesis, manifestaciones neurooftalmológicas.
Trombophilia: neuroophthalmological manifestation
Abstract
Objective: Report on a form of thrombophilia from the clinical case of a patient with papilledema caused by 2 cerebral venous sinus thrombosis, product of such disease.
Case report: 47-year-old female patient who presented to the ophthalmology ER reporting episodes of transient darkening of vision, severe headache and tinnitus. During the ophthalmologic examination she had evidence of bilateral papilledema, showing cerebral venous sinus thrombosis during the magnetic resonance angiography as a first instance pathophysiological factor. After thourough clinical and lab exams, thrombophilia diagnosis is confirmed as the cause for the cerebral venous sinus thrombosis, and so she was treated with anticoagulants showing a remarkable improvement in the clinical scenario.
Conclusion: This case highlights that thrombophilia can be a cause of cerebral venous sinus thrombosis, also causing bilateral papilledema.
Keywords: thrombophilia, papilledema, cerebral venous sinus thrombosis, intracanial hypertension, thrombogenesis; neurooftalmology.
Trombofilia: expressão neurooftalmológica
Resumo
Objetivo: Relatar uma forma de expressão da trombofilia a partir do caso clínico de um paciente com papiledema por trombose de 2 seios venosos cerebrais em decorrência desta condição.
Caso clínico: Paciente do sexo feminino, 47 anos, compareceu ao pronto-socorro oftalmológico relatando episódios de escurecimento temporário da visão, cefaleia intensa e zumbido. O exame oftalmológico revelou papiledema bilateral e a angiorressonância detectou trombose dos seios venosos cerebrais. Após exaustivas análises clínicas e laboratoriais foi confirmado o diagnóstico de trombofilia como responsável pela trombose, para o qual foi realizado tratamento anticoagulante com melhora acentuada do quadro clínico.
Conclusão: Neste caso destaca-se que a trombofilia pode ser a causa da trombose do seio venoso cerebral, podendo consequentemente gerar papiledema bilateral.
Palavras-chave: trombofilia, papiledema, trombose do seio venoso cerebral, hipertensão intracraniana, trombogênese, manifestações neuro-oftalmológicas.
Introducción
La trombosis venosa cerebral (TVC) es un trastorno infrecuente en la población general y representa entre el 0,5% y el 1% de todos los accidentes cerebrovasculares, con una prevalencia estimada entre 0,22 a 1,23/100.000/año, dependiendo de las regiones del mundo1. La edad media de los pacientes afectados varía entre los 37 y 49 años2. Es más frecuente en niños, adultos jóvenes y mujeres; éstas últimas a más corta edad y la mayor prevalencia en ellas se podría deber al consumo de anticonceptivos, el embarazo y el puerperio3. Los senos venosos cerebrales más afectados son el sagital superior (62%) seguido por el lateral izquierdo (45%) y el lateral derecho (41%)2. Más del 50% de los pacientes tiene compromiso de múltiples senos venosos cerebrales4.
La presentación clínica es variable y sus potenciales complicaciones son múltiples2. La cefalea está presente en alrededor del 90% de los pacientes. En los mayores de 50 años es más habitual la afección isquémica4. Otros síntomas incluyen alteración de la conciencia, náuseas, vómitos, convulsiones, compromiso de los nervios craneales, afasia, paresias y parestesias3-4. Las alteraciones visuales podrían ser el resultado del papiledema secundario al aumento de presión intracraneal, lesión isquémica directa de la vía visual y/o injuria directa de los nervios craneales responsables de la motilidad ocular y la función pupilar5.
De acuerdo con el “Estudio Internacional de Trombosis de Senos Venosos Cerebrales y Durales” (ISCVT, por sus siglas en inglés) el papiledema está presente en alrededor del 28% de los pacientes estudiados, en el 85% de los pacientes con inicio agudo o subagudo y en todos los pacientes con más de 1 mes de evolución; dentro de los últimos, el 65% tenía alteraciones visuales secundarias al papiledema o a la atrofia pospapiledema3.
El factor de riesgo que comúnmente se identifica es la trombofilia congénita y adquirida1. Las hereditarias son las que más se relacionan con el compromiso de los senos venosos cerebrales e incluyen la deficiencia de antitrombina III, de proteína C, de proteína S, la mutación del factor V de Leiden, la mutación del gen protrombina G 20210A y la disfibrinogenemia4. Los subtipos adquiridos incluyen el síndrome antifosfolípido, la hiperhomocisteinemia y la resistencia a la proteína C activada adquirida6.
Por lo anteriormente expresado, el objetivo del presente trabajo es reportar una forma de expresión de trombofilia a partir del caso clínico de una paciente con papiledema bilateral y trombosis de senos venosos cerebrales.
Caso clínico
Paciente de sexo femenino de 47 años que consultó por episodios de oscurecimientos visuales transitorios, metamorfopsias y cefalea intensa de meses de duración. Como antecedentes clínicos refería hipotiroidismo en tratamiento con levotiroxina. Manifestaba, además, tinnitus pulsátil y una suba significativa de su peso corporal (20 kg) en el último año.
Al examen oftalmológico se constató una agudeza visual mejor corregida de 9/10 en ambos ojos. Visión cromática, test de Amsler, biomicroscopía, presión intraocular y movimientos oculares sin particularidades. Se detectó un leve escape pupilar bilateral.
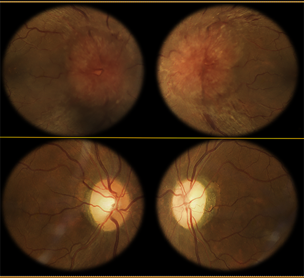
Al fondo de ojos y en forma bilateral se visualizó papiledema grado 4, según escala de Frissen (fig. 1a).

Figura 1. Retinografía en color. a) Papiledema al momento del diagnóstico. b) Al año postratamiento.
Se solicitó resonancia magnética nuclear (RMN) de encéfalo y órbita con y sin contraste y angiorresonancia (angio-RM) con tiempos arteriales y venosos, y se derivó a neurooftalmología para abordaje multidisciplinario.
La RMN de encéfalo y órbita evidenció signos indirectos de hipertensión endocraneal y la angio-RM mostró hallazgos compatibles con trombosis venosa en el seno sigmoideo izquierdo y en el tercio medio del seno longitudinal superior (fig. 2).

Figura 2. Angio-RNM venosa poscontraste donde se observa: a) defecto de relleno seno sigmoideo izquierdo, b) defecto de relleno en tercio medio de seno longitudinal superior.
Se decidió su internación urgente y se solicitó laboratorio completo incluyendo serología para enfermedades infectocontagiosas, enzima convertidora de angiotensina (ECA), perfil hematológico completo (factor V Leiden y mutación, proteína C, proteína S, antitrombina III, factor VII, homocisteinemia y anticuerpos antifosfolípidos) y reactantes de fase aguda. Se realizó además PCR para descartar Sars-CoV 2 debido a la situación de pandemia.
Se indicó punción lumbar para medición de presión de apertura del líquido cefalorraquídeo (LCR), fisicoquímico, cultivo y citometría de flujo a fin de descartar infecciones y células linfoproliferativas en LCR, hallándose como único dato positivo un aumento de la presión de apertura de 30 mmHg.
Las serologías solicitadas, la ECA y la PCR para SARS CoV-2 fueron negativas.
El perfil hematológico de la paciente evidenció trombofilia adquirida como factor causal (síndrome antifosfolipídico) por lo que se inició el tratamiento con anticoagulantes. La paciente manifestó una marcada disminución de su cefalea, del tinnitus y de la frecuencia de los episodios de oscurecimientos visuales transitorios a los 20 días de iniciada la anticoagulación.
Actualmente la paciente se encuentra anticoagulada, con marcada mejoría de sus síntomas visuales y generales, y significativa disminución de su papiledema (fig. 1b).
Discusión
La incidencia de trombosis venosa cerebral fue aumentando en los últimos tiempos, reportándose una mayor afección en mujeres jóvenes debido a factores de riesgo como el embarazo, el posparto y el uso de anticonceptivos orales3. La trombofilia, tanto congénita como adquirida, es el factor de riesgo más comúnmente identificado1,6. En el caso reportado algunos diagnósticos diferenciales fueron más fuertemente considerados: entre ellos, la hipertensión intracraneal idiopática y la infección por COVID-19.
En cuanto a la hipertensión intracraneal idiopática, la paciente se encontraba dentro del grupo de riesgo para su desarrollo: género, edad y obesidad. Tanto sus signos y síntomas hicieron que se considerase al aumento de la presión intracraneal como responsable de ellos: edema de papila, cefalea y tinnitus. Uno de los criterios de exclusión para el diagnóstico de hipertensión intracraneal idiopática es la presencia de trombosis de los senos venosos cerebrales7, por lo que su presencia en la angiografía de la paciente excluyó la variante idiopática de hipertensión endocraneal.
En el contexto pandémico acontecido por el Coronavirus 19 (COVID-19) —durante el cual consultó la paciente—, el riesgo de TVC fue impactado profundamente por la fuerte asociación del virus con eventos tromboembólicos, y existen reportes de TVC en pacientes que padecieron la infección. Además, se relaciona al virus con casos de exacerbación de hipertensión intracraneal idiopática y otros “de novo”, probablemente debido al neurotropismo directo del COVID-19 hacia las células epiteliales del plexo coroideo encargados de la reabsorción del LCR, infección meníngea o cambios en el estilo de vida debido a la cuarentena2. Por esta razón se decidió descartar la infección por COVID-19 en esta paciente.
En cuanto al diagnóstico de la TVC, la RMN en asociación con la angiorresonancia venosa (ARV) de cerebro tienen la mayor sensibilidad y especificidad4. La angiotomografía venosa es otra modalidad diagnóstica8. La ARV de la paciente evidenció los defectos de lleno poscontraste así como la ausencia de señal de flujo en los senos afectados, y la RMN mostró los típicos signos indirectos de la hipertensión intracraneal idiopática.
En cuanto al pilar del tratamiento de la TVC en los casos no considerados emergencias es la pronta iniciación de anticoagulantes. Su uso ha sido controvertido dada la presencia de complicaciones hemorrágicas hasta en el 40% de los casos. En los pacientes con compromiso visual secundario al papiledema por hipertensión intracraneal, la punción lumbar debe considerarse en ausencia de infarto o hemorragia cerebral y otros factores de riesgo para la herniación. El fin de la punción lumbar es la disminución aguda de la presión intracraneal y evitar la pérdida visual mientras la anticoagulación inicia su efecto terapéutico2. En el caso reportado la punción lumbar fue realizada no sólo con este fin sino también para la medición de la presión de apertura del LCR y para su análisis fisicoquímico y bacteriológico.
La acetazolamida también puede utilizarse, aunque ésta tiene un rol más limitado en el manejo agudo de los casos severos de papiledema2. Los corticoides se asocian con un peor pronóstico por lo que deberían evitarse en la TVC. Los procedimientos quirúrgicos —como los de derivación del líquido cefalorraquídeo o la fenestración de la vaina del nervio óptico— deberán considerarse en los casos refractarios al tratamiento9.
Conclusión
Ante la presencia de papiledema en una paciente con síntomas clínicos de hipertensión endocraneal es imperativo el estudio exhaustivo para determinar los posibles agentes causales. La RMN de cerebro deberá solicitarse conjuntamente con la angiorresonancia o la angiotomografía para descartar la TVC como principal mecanismo fisiopatológico. Una vez confirmada la oclusión trombótica e iniciado el tratamiento de manera urgente, serán necesarios los estudios complementarios para llegar al diagnóstico etiológico de la afección.
Referencias
1. Saposnik G, Barinagarrementeria F, Brown RD Jr et al. Diagnosis and management of cerebral venous thrombosis: a statement for healthcare professionals from the American Heart Association/American Stroke Association. Stroke 2011; 42: 1158-1192.
2. Medicherla CB, Pauley RA, de Havenon A et al. Cerebral venous sinus thrombosis in the Covid-19 pandemic. J Neuroophthalmol 2020; 40: 457-462.
3. Ferro JM, Canhão P, Stam J et al. Prognosis of cerebral vein and dural sinus thrombosis: results of the International Study of Cerebral Vein and Dural Sinus Thrombosis (ISCVT). Stroke 2004; 35: 664-670.
4. Duman T, Uluduz D, Midi I, VENOST Study Group et al. A multicenter study of 1144 patients with cerebral venous thrombosis: the VENOST study. J Stroke Cerebrovasc Dis 2017; 26: 1848–1857.
5. Aaron S, Arthur A, Prabakhar AT, et al. Spectrum of visual impairment in cerebral venous thrombosis: importance of tailoring therapies based on pathophysiology. Ann Indian Acad Neurol 2017; 20: 294-301.
6. Altuna D, Ceresetto J, Fassi D et al. Trombofilias. Buenos Aires: Sociedad Argentina de Hematología, 2012, p. 471-481. Disponible en: http://www.sah.org.ar/docs/471-481.12.SAH_GUIA2012_Trombofilia.pdf
7. Friedman DI, Jacobson DM. Diagnostic criteria for idiopathic intracranial hypertension. Neurology 2002; 59:1492-1495.
8. Linn J, Brückmann H. Cerebral venous and dural sinus thrombosis: state-of-the-art imaging. Clin Neuroradiol 2010; 20: 25-37.
9. Brune AJ, Girgla T, Trobe JD. Complications of ventriculoperitoneal shunt for idiopathic intracranial hypertension: a single-institution study of 32 patients. J Neuroophthalmol 2021; 41: 224-232.