CASOS CLÍNICOS
Pit de papila asociado a maculopatía y desprendimiento de retina seroso: presentación de dos casos
Irina Abrahama, Daniel Pérez Lópeza, Lucas Alcaraza, Andrea B. Sáncheza, Santiago C. Aspee Roberta, Hernán Grasa-b
a Servicio de Oftalmología del Hospital Central, Mendoza, Argentina.
b Clínica Centrovisión, Mendoza, Argentina.
Recibido: 10 de abril de 2023.
Aprobado: 12 de mayo de 2023.
Autor corresponsal
Irina Abraham
Hospital Central
Leandro N. Alem y Salta
(5500) Mendoza, Argentina.
+ 54 (261) 3855684
irina.abrahamitz@gmail.com
Oftalmol Clin Exp (ISSNe 1851-2658)
2023; 16(2): e199-e211.
Conflictos de interés
Ninguno.
Modo de financiación
Los autores desarrollaron el presente estudio con fines académicos sin contar con auspicios/fondos externos.
Resumen
Objetivo: Presentar los casos de dos pacientes con pit de papila y desprendimiento seroso de retina asociado, una patología poco reportada en la bibliografía.
Caso clínico: Caso 1: Paciente masculino de 47 años que consultó por disminución brusca de agudeza visual unilateral. Se diagnosticó como coriorretinopatía central serosa. Luego de varios cursos de tratamiento habitual sin buena respuesta se llegó al diagnóstico de pit de papila con desprendimiento seroso de retina asociado. Caso 2: Paciente femenina de 38 años que consultó por disminución brusca de agudeza visual unilateral. Se diagnosticó inicialmente como complicación de evento isquémico retinal. Luego de haber realizado tratamiento sin respuesta satisfactoria se llegó al diagnóstico de pit de papila con desprendimiento seroso de retina asociado. La resolución en ambos casos fue quirúrgica mediante vitrectomía con inyección de gas, endofotocoagulación y pelado de membrana limitante interna, con resultado anatómico favorable.
Conclusión: El desprendimiento de retina asociado a pit de papila representa un desafío diagnóstico. De acuerdo con la experiencia adquirida y la bibliografía científica publicada, se plantea la necesidad de contar con herramientas que faciliten el diagnóstico temprano a fin de mejorar el pronóstico visual de los pacientes.
Palabras clave: foseta, pit de papila, desprendimiento de retina seroso, vitrectomía.
Optic disc pit associated with maculopathy and serous retinal detachment: presentation of two cases
Abstract
Objective: To present the cases of two patients with optic disc pit associated with serous retinal detachment, a rarely reported condition in the literature.
Case report: Case 1: A 47-year-old male presented with sudden unilateral decrease in visual acuity who was initially diagnosed with central serous chorioretinopathy. After several courses of standard treatment without satisfactory response, the diagnosis of optic disc pit with associated serous retinal detachment was made. Case 2: A 38-year-old female presented with sudden unilateral decrease in visual acuity who was initially diagnosed with a complication of a retinal ischemic event. After unsuccessful treatment attempts, the diagnosis of optic disc pit with associated serous retinal detachment was established. Surgical resolution was achieved in both cases through vitrectomy with gas injection, endophotocoagulation, and peeling of internal limiting membrane, resulting in favorable anatomic outcomes.
Conclusion: Retinal detachment associated with optic disc pit represents a diagnostic challenge. According to the experience acquired and the published scientific literature, there is a need for tools to facilitate early diagnosis in order to improve the visual prognosis of patients.
Keywords: pit, optic disc pit, serous retinal detachment, vitrectomy, central serous chorioretinopathy.
Pit de papila associada a maculopatia e descolamento seroso da retina: apresentação de dois casos
Objetivo: Apresentar os casos de dois pacientes com hipófise e descolamento seroso da retina associado, patologia raramente relatada na literatura.
Caso clínico: Caso 1: Homem de 47 anos que consultou por diminuição súbita da acuidade visual unilateral. Foi diagnosticado como coriorretinopatia serosa central. Após vários ciclos de tratamento habitual sem boa resposta, chegou-se ao diagnóstico de papila pituitária com descolamento seroso da retina associado. Caso 2: Paciente do sexo feminino, 38 anos, que consultou devido a uma diminuição súbita da acuidade visual unilateral. Foi inicialmente diagnosticado como uma complicação de um evento isquêmico retiniano. Após ter realizado tratamento sem resposta satisfatória, chegou-se ao diagnóstico de papila hipofisária com descolamento seroso de retina associado. A resolução em ambos os casos foi cirúrgica por meio de vitrectomia com injeção de gás, endofotocoagulação e peeling da membrana limitante interna, com resultados anatômicos favoráveis.
Conclusão: O descolamento de retina associado à fosseta de papila representa um desafio diagnóstico. De acordo com a experiência adquirida e a bibliografia científica publicada, há necessidade de ferramentas que facilitem o diagnóstico precoce para melhorar o prognóstico visual dos pacientes.
Palavras-chave: pit de papila, fosseta, fosseta de papila, descolamento seroso da retina, vitrectomia.
Introducción
A inicios de la década del sesenta se publicaron los primeros artículos que relacionaban al pit de papila con cambios maculares y desprendimiento de retina1-2. En 1964 encontraron un total de 175 casos publicados con pit de papila, de los cuales 46 tenían asociados cambios maculares2. En la actualidad, a casi 50 años de las primeras publicaciones del tema, esa anomalía sigue generando complejidad tanto en su diagnóstico como en su tratamiento, más allá de los grandes avances científicos y tecnológicos existentes hoy en día. En un estudio realizado por Meng y colaboradores se analizaron 59 trabajos con la finalidad de evaluar las características básicas de la maculopatía asociada al pit de papila, concluyendo que hay diferentes formas de expresión en el fondo del ojo y que eso posiblemente era el origen del retraso en muchos casos de un diagnóstico de certeza y un tratamiento adecuado3.
El pit de papila, aunque la mayoría de las veces puede identificarse sin mayor dificultad, otras puede originar confusión. Esta alteración es una anomalía cavitaria rara de la cabeza del nervio óptico (afecta a una de cada 11.000 personas), generalmente es congénita pero también puede ser secundaria a glaucoma y miopía, y suele aparecer como una depresión gris o blanco-amarillenta, redonda u ovalada, en el disco temporal. Aunque suele ser asintomática y diagnosticarse como hallazgo aislado en la consulta, entre el 25% al 75% de los casos puede combinarse con maculopatía, que se caracteriza por desprendimiento seroso y/o retinosquisis en la mácula, lo que conduce a una pérdida visual grave4.
A continuación, teniendo en cuenta que se trata de una patología combinada que sigue ocasionando controversias en relación con su diagnóstico y su tratamiento, presentamos dos casos clínicos de pit de papila asociado a maculopatía y desprendimiento seroso de retina con diferente abordaje diagnóstico.
Casos clínicos
Caso 1
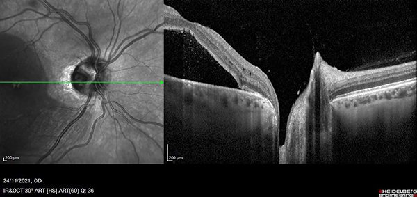
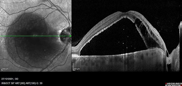
Paciente de sexo masculino de 47 años, sin antecedentes patológicos generales ni oculares de relevancia que consultó por guardia, derivado con diagnóstico de desprendimiento de retina en ojo derecho de un mes de evolución. Al ingreso presentaba una agudeza visual en ojo derecho (OD) de 5/10 sin corrección 10/10 con corrección (+1,50) y en ojo izquierdo (OI) 10/10 sin corrección. Test de Amsler alterado en OD. A la biomicroscopía ambos ojos se presentaban sin particularidades. Presión intraocular: 12/14 mmHg. Fondo de ojo derecho: papila bordes netos, excavada 0,7 atrofia peripapilar, pliegues maculares e impresionaba líquido subretinal; y en OI: papila bordes netos excavación 0,3, mácula de características normales, retina aplicada. Ante el diagnóstico presuntivo de coriorretinopatía central serosa (CCS) de OD solicitamos tomografía de coherencia óptica en donde observamos desprendimiento del neuroepitelio con compromiso de gran parte de la mácula (fig. 1). Pedimos ionograma sérico (no patológico) e iniciamos tratamiento vía oral con eplerenona 25 mg/día y tópico con bromfenac 1 gota cada 6 horas. A las dos semanas el paciente asistió a control sin mejoría de la visión (AV mejor corregida de 7/10) y sin cambios en el fondo de ojo. Realizamos nuevo OCT y vimos un aumento del líquido subretinal y retinosquisis parafoveal hacia nasal (fig. 2). Realizamos 3 inyecciones mensuales intravítreas de anti-VEGF (bevacizumab) y aumentamos la dosis de eplerenona a 50 mg/día durante 30 días, sin respuesta. A los tres meses, la AVMC era de 1/20, en el fondo de ojo, además de los pliegues maculares, observamos múltiples exudados duros maculares. Realizamos ecografía ocular a fin de descartar otras causas de desprendimiento seroso de retina y retinofluoresceinografía (RFG) en búsqueda de punto de fuga, sin hallazgos de interés (fig. 3).

Figura 1. OCT de ojo derecho con desprendimiento seroso del neuroepitelio.

Figura 2. OCT de control de ojo derecho con persistencia del desprendimiento seroso y retinosquisis.

Figura 3. Angiografía fluoresceínica de ojo derecho en tiempo arteriovenoso tardío sin extravasación de contraste.
Al no presentar respuesta ante los tratamientos recibidos, reinterpretamos el cuadro clínico, observando detenidamente en el fondo de ojo derecho y en OCT una lesión compatible con foseta del disco óptico con filtración de líquido hacia el espacio subretinal (figs. 4 y 5).
Decidimos realizar tratamiento quirúrgico: vitrectomía por pars plana (VPP) con peeling de membrana limitante interna (PMLI) y aposición de flap sobre el pit, taponamiento con hexafluoruro de azufre y endofotocoagulación peripapilar (figs. 6 y 7).

Figura 4. Retinografía color de polo posterior derecho con alteración a nivel del margen temporal del disco óptico (flecha: pit de papila).

Figura 5. OCT de ojo derecho. En el nervio óptico, el espacio hiporreflectivo corresponde al pit de papila.

Figura 6. Imagen intraoperatoria que muestra la confección del flap de membrana limitante interna y su posicionamiento sobre el pit de papila. Acercamiento con lupa de contacto para mácula.

Figura 7. Imagen intraoperatoria con lupa de no contacto que muestra el peeling de la membrana limitante interna y el flap invertido sobre el pit de papila.
Examen oftalmológico postoperatorio mediato: AVMC OD 2/10, fondo de ojo derecho: pit de papila, atrofia peripapilar, fotocoagulación láser peripapilar y retina aplicada a nivel macular (figs. 8 y 9), y en OCT: retina aplicada con alteración de línea IS/OS (fig. 10).
Un mes después presentaba nuevamente disminución de la AV OD (1/10) y recidiva del desprendimiento seroso con retinosquisis en OCT. Mantuvimos conducta expectante y repetimos OCT a los siete días, donde observamos retina aplicada (fig. 11).
Realizamos imágenes de seguimiento, sin cambios hasta la fecha (cuatro meses desde la cirugía).

Figura 8. Retinografía color de campo ultra amplio postoperatoria de ojo derecho que muestra retina aplicada.

Figura 9. Retinografía color postoperatoria de disco óptico derecho donde se observa fotocoagulación láser peripapilar temporal.

Figura 10. OCT postoperatoria de ojo derecho donde se aprecia reaplicación de la retina y posicionamiento del flap de membrana limitante interna sobre la papila.

Figura 11. OCT comparativa postoperatoria de ojo derecho. Se observa disminución del fluido subretinal y retinosquisis luego de recidiva de ambos.
Caso 2
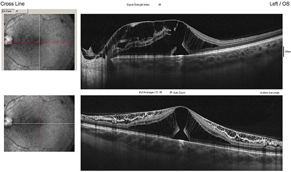
Paciente de sexo femenino de 38 años, sin antecedentes patológicos generales, con antecedentes de cirugía refractiva (LASIK) de ojo derecho de excelente resultado. Consultó un año después de la intervención por disminución brusca e indolora de la AV de OI. El examen oftalmológico inicial era: AVMC OD 10/10 sc OI 4/10 nmcc (ARM OI +1,00 -0,75 x 176°), BMC y PIO sin particularidades en ambos ojos, FO OD retina aplicada y OI edema macular y alteración periférica de pigmento. Realizamos OCT donde observamos líquido subretinal con esquisis de capas internas de la retina y pérdida marcada de la depresión foveal (fig. 12). Lo interpretamos inicialmente como evento vascular oclusivo y procedimos a inyección intravítrea de anti-VEGF e interconsulta con cardiología y hematología. El control tras la inyección de bevacizumab no mostró buena respuesta clínica ni en OCT. A los dos meses le realizamos la segunda inyección intravítrea, el control posterior mostró AVMC OI 3/10 (+0,75) y en OCT persistía el engrosamiento macular a expensas de la retinosquisis y aumento del LSR (fig. 13). Reevaluamos y reinterpretamos el caso como pit de papila asociado a desprendimiento seroso. Procedimos a la cirugía: VPP con PMLI y aposición de flap sobre el pit, taponamiento con hexafluoruro de azufre y endofotocoagulación. El control posterior a la cirugía mostró mejoría: AVMC OI 4/10 y en la OCT observamos disminución del espesor macular central con menos LSR (fig. 14) y flap posicionado sobre la papila (fig. 15). La paciente se encuentra en seguimiento periódico.

Figura 12. OCT de ojo izquierdo con desprendimiento seroso del neuroepitelio a nivel foveal y retinosquisis que afecta extensamente la mácula.

Figura 13. OCT de control de ojo izquierdo donde se observa empeoramiento de las lesiones iniciales.

Figura 14. OCT postoperatoria de ojo izquierdo que muestra disminución del desprendimiento seroso y retinosquisis.

Figura 15. OCT postoperatoria de ojo izquierdo focalizada sobre el disco óptico donde se observa el flap de membrana limitante interna posicionado sobre él.
Discusión
Tal como se describe en la bibliografía, existe un 75% de probabilidad de ser una entidad unilateral1, 5-6. En ambos casos el pit o foseta de papila y la consecuente alteración macular afectó a un solo ojo, lo cual generó dificultad en el diagnóstico inicial, inclinando la balanza hacia un cuadro de coriorretinopatía central serosa (caso 1) o a un evento vascular oclusivo (caso 2), asociados a asimetría en la excavación del nervio óptico.
Los dos casos corresponden a pacientes entre la tercera y cuarta décadas de vida, que presentaron desprendimiento de retina seroso asociado a la anomalía congénita del nervio óptico no diagnosticada. Es el rango etario de presentación habitual de esta enfermedad y coincide también con la presentación frecuente de otras maculopatías1-2, 7. Una de las diferencias en las que radica el diagnóstico es que no sólo se observa desprendimiento seroso macular, sino también separación de las capas internas de la retina, y es ese patrón típico de esquisis macular que se observa en la OCT lo que nos ayudó a diferenciar la maculopatía asociada a pit de papila de otras enfermedades con líquido subretinal7-8. Por lo tanto, el diagnóstico de esta afección se basa principalmente en la observación oftalmoscópica de la foseta del nervio óptico desde edades tempranas en casos asintomáticos, pero —como ocurre en estos dos casos clínicos— los pacientes consultaron por disminución de la agudeza visual y fue necesario realizar OCT y RFG además de una observación detallada y cuidadosa de los nervios ópticos para observar los cambios típicos y descartar otras causas de desprendimiento macular seroso unilateral.
Dado que la foseta papilar es una lesión congénita pero la maculopatía asociada es usualmente un fenómeno tardío, postulamos que debe existir un cambio fisiopatológico que predispone al movimiento de fluido a través de las capas retinales9-10. La lesión inicial podría corresponder a una separación quística de las capas internas, mientras que una degeneración posterior de las capas externas originaría un verdadero desprendimiento retinal seroso con separación de la capa de fotorreceptores respecto de la del EPR. Al persistir la lesión, las capas retinales externas degeneran y pueden abrirse agujeros maculares de espesor parcial o total con pérdida visual permanente.
De acuerdo con la bibliografía consultada, existen cuatro posibles orígenes del líquido subretinal, como describimos a continuación8, 11-13:
Que provenga desde la cavidad vítrea: se sugiere la existencia de un bolsillo de vítreo licuado sobre la foseta que, debido a las fuerzas de tracción vítrea, un pequeño agujero se desarrollaría en el tejido que recubre la malformación, por lo que el líquido se introduciría disecando las capas por debajo o en medio de la retina causando la aparición de un desprendimiento seroso.
El segundo posible origen es que migre desde el espacio subaracnoideo: estudios de OCT mostraron una comunicación directa entre la retinosquisis y el espacio subaracnoideo, y Kuhn et al. reportaron migración intracraneal de aceite de silicón en un caso de foseta del nervio óptico previamente tratado con vitrectomía14. Estudios posteriores demostraron una falta de tejido del nervio óptico en la región de la foseta y que continúa en su extensión posterior, hallazgo que refuerza la idea de comunicación directa con el espacio subaracnoideo.
La tercera teoría es que se genere como consecuencia a una hiperpermeabilidad vascular en la base de la foseta: poco probable porque la RFG no muestra fugas.
Por último, podría originarse en el espacio orbitario que rodea la duramadre.
Dejado a su libre evolución, el desprendimiento seroso del neuroepitelio asociado a la retinosquisis puede causar alteración de la capa de fotorreceptores y consiguiente pérdida irreversible de la visión15. Por lo que una vez hecho el diagnóstico, el tratamiento es la regla. Existen alternativas terapéuticas reportadas, pero ninguna se ha establecido aún como tratamiento de elección8, 16-18. Entre ellas mencionamos: inyección de gas; fotocoagulación láser8, 19; vitrectomía con inyección de gas8, 20-21 o vitrectomía con endofotocoagulación e inyección de gas20-21 con o sin PMLI8, 11. El drenaje de líquido subretinal e intrarretinal no se considera un procedimiento de elección o adicional8, 11, 17. Como describimos previamente, la tracción vitreorretinal podría ser un factor importante en la patogénesis de la maculopatía asociada al pit de papila, por lo que resultaría esencial realizar una vitrectomía con inducción de un desprendimiento de vítreo posterior o hialoides posterior completo.
En los casos presentados se realizó vitrectomía, inyección de gas y PMLI con técnica de flap de membrana limitante interna (MLI) invertido, posicionado sobre el pit de papila, generando así su cierre y evitando el continuo drenaje de líquido al espacio intra y subretinal. Se ha reportado el uso de diferentes materiales o tejidos para producir el cierre mecánico del pit: MLI, membrana amniótica liofilizada, conjuntiva y/o esclera11, 22.
Conclusión
La maculopatía asociada a pit de papila es una entidad rara que plantea dificultades para su diagnóstico temprano, lo cual tiene gran relevancia en su pronóstico. En los casos presentados, el lapso de tiempo entre ambos fue de pocos meses y los dos fueron evaluados por los mismos retinólogos experimentados, que aún con la experiencia reciente del primer caso, se orientaron inicialmente por otras causas más frecuentes en el segundo. Esto plantea la necesidad de contar con marcadores tempranos y sus métodos de detección, una posible aplicación para la inteligencia artificial para evitar demoras en el diagnóstico. Ambos casos ilustran que con el tratamiento combinado de vitrectomía, inyección de gas, endofotocoagulación y PMLI se pueden obtener cambios anatómicos y funcionales favorables en el corto plazo.
Referencias