CASOS CLÍNICOS


Compromiso retinal y medular en feocromocitoma: un desafío diagnóstico
Julieta Celeste Albornoz, Amelia Pinheiro, Marcelo Chaves


Servicio de Neurología, Hospital San Martín, Paraná, Entre Ríos, Argentina.


Recibido: 27 de enero de 2023.
Aprobado: 29 de abril de 2023.

Autor corresponsal
Dra. Julieta Celeste Albornoz
Perón 450
(3100) Paraná, prov. de Entre Ríos
Argentina
+54 (343) 423-4545
julietacalbornoz@gmail.com

Oftalmol Clin Exp (ISSNe 1851-2658)
2023; 16(2): e194-e198.


Resumen
Objetivo: Presentar un caso clínico de feocromocitoma con compromiso retinal y medular, y revisar la relevancia del enfoque interdisciplinario para su diagnóstico y tratamiento.
Caso clínico: Mujer de 15 años consultó por disminución brusca de agudeza visual y cefaleas de 3 meses de evolución. Se observó edema de papila bilateral y se solicitó resonancia magnética de cerebro con sospecha de hipertensión endocraneal. Se detectó área hiperintensa en unión bulbomedular. Se complementó con resonancia cervical, por lo que se obtuvieron hallazgos compatibles con enfermedad desmielinizante y se estableció diagnóstico probable de neuromielitis óptica. En su evolución presentó hipertensión arterial severa. Se reevaluó el caso y se observó afectación retinal en el fondo de ojos (estrella macular bilateral) reinterpretando el cuadro como retinopatía hipertensiva, a la vez que se buscaron causas secundarias. En un nuevo interrogatorio se destacaron antecedentes compatibles con feocromocitoma: cefaleas, palpitaciones y sudoración. Mediante ecografía y resonancia magnética de abdomen se detectó lesión y valores elevados de catecolaminas en orina y suero, lo que confirmó el diagnóstico. Se controló la tensión arterial y dos semanas más tarde se le realizó la exéresis del tumor.
Conclusión: El diagnóstico de feocromocitoma puede ser complejo; se requiere de un abordaje interdisciplinario para valorar las distintas expresiones clínicas y también realizar el tratamiento correspondiente.
Palabras clave: feocromocitoma, retinopatía hipertensiva, estrella macular, edema de papilas.

Retinal and spinal cord involvement in pheochromocytoma: a diagnostic challenge
Abstract
Objective: To present a clinical case of pheochromocytoma with retinal and spinal cord involvement, and to review the relevance of the interdisciplinary approach for its diagnosis and treatment.
Clinical case: A 15-year-old woman consulted for a sudden decrease in visual acuity and headaches of 3 months of evolution. Bilateral papillae edema was observed and magnetic resonance imaging of the brain with suspected intracranial hypertension was requested. Hyperintense area at the bulbomedullary junction was detected, complemented with cervical resonance imaging, obtaining findings compatible with demyelinating disease, establishing a probable diagnosis of neuromyelitis optica. In his evolution he presented severe arterial hypertension. The case was re-evaluated and observed in background of retinal involvement (bilateral macular star). The picture is reinterpreted as hypertensive retinopathy and secondary causes are sought. In a new interrogation, antecedents compatible with pheochromocytoma were highlighted: “headaches, palpitations and sweating”. Ultrasound and abomen MRI detected lesion and high values of catecholamines were detected in urine and serum confirming the diagnosis. The BP was controlled and two weeks later the tumor was operated and removed.
Conclusion: The diagnosis of pheochromocytoma can be dificult. An interdisciplinary approach is required to assess the different clinical expressions and also to carry out the corresponding treatment.
Keywords: pheochromocytoma, hypertensive retinopathy, macular star, optic disc edema.

Comprometimento da retina e da medula no feocromocitoma: um desafio diagnóstico
Resumo
Objetivo: Presentar un caso clínico de feocromocitoma con compromiso retinal y medular, y revisar la relevancia del enfoque interdisciplinario para su diagnóstico y tratamiento.
Objetivo: Apresentar um caso clínico de feocromocitoma com comprometimento retiniano e medular e revisar a relevância da abordagem interdisciplinar para seu diagnóstico e tratamento.
Caso clínico: Mulher de 15 anos consultada por diminuição súbita da acuidade visual e cefaleias com 3 meses de evolução. Observou-se papiledema bilateral e foi solicitada ressonância magnética cerebral com suspeita de hipertensão intracraniana. Uma área hiperintensa foi detectada na junção bulbomedular. Foi complementada com ressonância cervical, de modo a obter achados compatíveis com doença desmielinizante e estabelecer o provável diagnóstico de neuromielite óptica. Durante a evolução ele apresentou hipertensão arterial grave. O caso foi reavaliado e observou-se acometimento retiniano em fundo de olho (estrela macular bilateral), reinterpretando o quadro como retinopatia hipertensiva, sendo buscadas causas secundárias. Em novo questionamento, foi destacado histórico compatível com feocromocitoma: cefaléia, palpitações e sudorese. A ultrassonografia e a ressonância magnética de abdome detectaram lesão e níveis elevados de catecolaminas na urina e no soro, o que confirmou o diagnóstico. A pressão arterial foi verificada e duas semanas depois o tumor foi removido.
Conclusão: O diagnóstico de feocromocitoma pode ser complexo; é necessária uma abordagem interdisciplinar para avaliar as diferentes expressões clínicas e também realizar o tratamento correspondente.
Palavras-chave: feocromocitoma, retinopatia hipertensiva, estrela macular, papiledema.


Introducción
Los feocromocitomas y los paragangliomas suprarrenales son tumores de células de la cresta neural asociados con la producción de catecolaminas, motivo por el cual parte de su expresión clínica se asocia a hipertensión arterial y cefaleas1-3. Dentro de su expresión clínica se pueden afectar los ojos2. La hipertensión sistémica grave puede estar acompañada de inflamación de la papila óptica (neurorretinitis) expresada por edema de papila, con la posterior formación de exudados maculares que a menudo se disponen de forma estrellada (estrella macular) y que se presentan de forma bilateral pero asimétrica2, 4. Pero este tipo de expresión se puede desarrollar ante diversas condiciones de etiologías tanto infecciosas como inflamatorias (principalmente en personas jóvenes) y de etiologías vasculares (principalmente en personas mayores)3. Por lo tanto, el diagnóstico del feocromocitoma generalmente no es tan simple, siendo tumores que en muchos casos se descubren incidentalmente durante los exámenes radiológicos, en especial del abdomen3, 5-6. Asimismo, por el compromiso multisistémico que presentan, tanto para su diagnóstico como para su tratamiento, deberán involucrarse diferentes especialidades.
Por lo tanto, y en el contexto de la complejidad que puede representar el hecho de establecer el diagnóstico de feocromocitoma y su posterior manejo terapéutico, el objetivo de este estudio es presentar un caso clínico de feocromocitoma con compromiso retinal.

Caso clínico
Una joven de 15 años, sin hábitos tóxicos ni antecedentes patológicos conocidos, ingresó al nosocomio por un cuadro rápidamente progresivo de disminución de la agudeza visual bilateral asociado a episodios de cefalea intensa. Al ingreso, en el interrogatorio la paciente refirió cuadro de 3 meses de evolución que comenzó con episodios de cefalea intensa; luego fue progresando con disminución de la agudeza visual severa en ambos ojos de manera secuencial y afectó inicialmente el ojo izquierdo (OI). En el fondo de ojo se determinó la presencia de papiledema bilateral por lo que se realizó resonancia magnética nuclear (RMN) de cerebro por sospecha de hipertensión endocraneal y para descartar lesión ocupante de espacio.
En la RMN se evidenció la presencia de un área hiperintensa en unión bulbomedular por lo cual se solicitó RMN de columna cervical donde se observó una lesión hiperintensa en T2 longitudinalmente extensa compatible con enfermedad desmielinizante (fig. 1).

Figura 1. Resonancia magnética de columna cervical donde se observa una lesión hiperintensa en T2 longitudinalmente extensa (compatible con enfermedad desmielinizante).

Frente a la sospecha de neuritis óptica bilateral y lesión medular extensa en paciente joven, se interpretó como diagnóstico probable de neuromielitis óptica. La paciente fue internada para realizar pulso de corticoides y durante la internación presentó registros de tensión arterial elevados (HTA estadio III).
Por tal motivo se reevaluó el fondo de ojos, donde se encontró edema retinal con exudados algodonosos, hemorragias en llama e imagen tipo “estrella macular de Leber” (fig. 2). Ante este nuevo escenario clínico se reinterpretó el cuadro como retinopatía hipertensiva y se evaluaron sus causas secundarias.

Figura 2. Fotografía digital del fondo del ojo donde se observa edema de papila y exudados retinales en forma de estrella macular.

Se realizó nuevo interrogatorio donde se determinó la presencia de episodios de sudoración y palpitaciones en el contexto de los registros de cefalea. De esta manera se consideró como principal diagnóstico etiológico al feocromocitoma, ya que presenta la tríada clásica de “cefalea, palpitaciones y sudoración”.
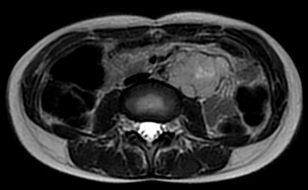
El resultado de la ecografía renovesical informó imagen hipoecogénica de 43 x 46 x 31 mm. En RMN de abdomen con contraste se evidenció masa ocupante de espacio paraaórtico de gran tamaño (fig. 3). Seguidamente se solicitó dosaje de catecolaminas en orina y suero que arrojaron valores elevados 10 veces por encima de la normalidad confirmando el diagnóstico presuntivo de feocromocitoma.

Figura 3. Imagen de resonancia magnética de abdomen con contraste. Se observa masa ocupante en zona del espacio paraaórtico.

Se inició tratamiento antihipertensivo para control de la tensión arterial con el propósito de realizar exéresis del tumor. Dos semanas después del tratamiento antihipertensivo la paciente fue derivada a centro de referencia para estudios prequirúrgicos y realización de cirugía. Se envió la muestra a anatomía patológica donde fue finalmente confirmado el diagnóstico de paraganglioma moderadamente diferenciado tipo GAPP4 (por grading system for adrenal pheochromocytoma and paraganglioma)7.

Discusión
En este trabajo se ha presentado un caso clínico de retinopatía hipertensiva en el contexto de un feocromocitoma, pero que inicialmente fue interpretado como una enfermedad desmielinizante. Este tipo de tumores no son frecuentes, ya que cuenta con una incidencia de entre el 0,005% y el 0,1% de la población general y entre el 0,1% y el 0,2% de la población hipertensa adulta en Estados Unidos8. Como se ha mencionado en la introducción, muchas veces su diagnóstico es complicado, algo que ha ocurrido en este caso, como se discutirá a continuación.
En el proceso de arribar al diagnóstico se presentaron situaciones que funcionaron como factores de confusión. En primera instancia, al inicio de la internación hubo síntomas que no se interpretaron como relevantes, tales como la cefalea de carácter episódico, característica del feocromocitoma. Por otra parte, la presencia de múltiples indicadores de retinitis en el fondo de ojo —como son las hemorragias en llama y los infiltrados algodonosos, y no solo la presencia de la imagen de estrella macular de Leber, un indicador claro de hipertensión arterial que se valoró en detalle— resultó un dato crucial en el proceso de arribar al diagnóstico certero de feocromocitoma.
Además, la imagen medular longitudinalmente extensa, interpretada erróneamente en un principio como un diagnóstico probable de enfermedad desmielinizante y avalado por la edad y los trastornos visuales concomitantes con esa imagen, fue el principal factor que trajo confusión en este caso. El síndrome de encefalopatía posterior reversible con localización medular es sumamente extraño y en contexto de ausencia de síntomas medulares hace aún más dificultosa la correcta interpretación de la neuroimagen9-10.

Conclusión
El caso presentado realza, desde un aspecto educativo y científico-práctico, la importancia que tienen los aspectos básicos al momento de evaluar un paciente como son los signos vitales y la interpretación de los síntomas en su totalidad, tal como fue en este caso la cefalea. Se subraya también la importancia de realizar los análisis complementarios adecuados —como lo fue el fondo de ojo en este caso—, que determinó los datos clave para arribar al diagnóstico certero. Finalmente y como conclusión principal, se destaca la importancia de intentar afrontar la evaluación del paciente con un pensamiento multidisciplinar, realizando las interconsultas necesarias, evitando de esta forma los sesgos típicos que pueden presentarse a la hora de realizar los diagnósticos diferenciales y tratamientos consecuentes, pensando al paciente sólo desde una única especialidad y no de forma integral.


Referencias

  1. Neumann HPH, Young WF Jr, Eng C. Pheochromocytoma and paraganglioma. N Engl J Med 2019; 381: 552-565.
  2. Farrugia FA, Martikos G, Tzanetis P et al. Pheochromocytoma, diagnosis and treatment: review of the literature. Endocr Regul 2017; 51: 168-181.
  3. Farrugia FA, Charalampopoulos A. Pheochromocytoma. Endocr Regul 2019; 53: 191-212.
  4. Younes S, Abdellaoui M, Zahir F et al. Bilateral stellate neuroretinitis revealing a pheochromocytoma. Pan Afr Med J 2015; 20: 13.
  5. Carrasquillo JA, Chen CC, Jha A et al. Imaging of pheochromocytoma and paraganglioma. J Nucl Med 2021; 62: 1033-1042.
  6. Takahashi K. Adrenomedullin from a pheochromocytoma to the eye: implications of the adrenomedullin research for endocrinology in the 21st century. Tohoku J Exp Med 2001; 193: 79-114.
  7. Guilmette J, Sadow PM. A guide to pheochromocytomas and paragangliomas. Surg Pathol Clin 2019; 12: 951-965.
  8. Lee AG, Beaver HA. Acute bilateral optic disk edema with a macular star figure in a 12-year-old girl. Surv Ophthalmol 2002; 47: 42-49.
  9. Gocmen R, Ardicli D, Erarslan Y et al. Reversible hypertensive myelopathy-the spinal cord variant of posterior reversible encephalopathy syndrome. Neuropediatrics 2017; 48: 115-118.
  10. McKinney AM, Short J, Truwit CL et al. Posterior reversible encephalopathy syndrome: incidence of atypical regions of involvement and imaging findings. AJR Am J Roentgenol 2007; 189: 904-912.